SAME-DAY CROWNS
Same Day Crowns in Sunnyvale, CA
Same Day Crowns
Sunnyvale, CA
Restoring Your Natural Smile with Undetectable Dentistry
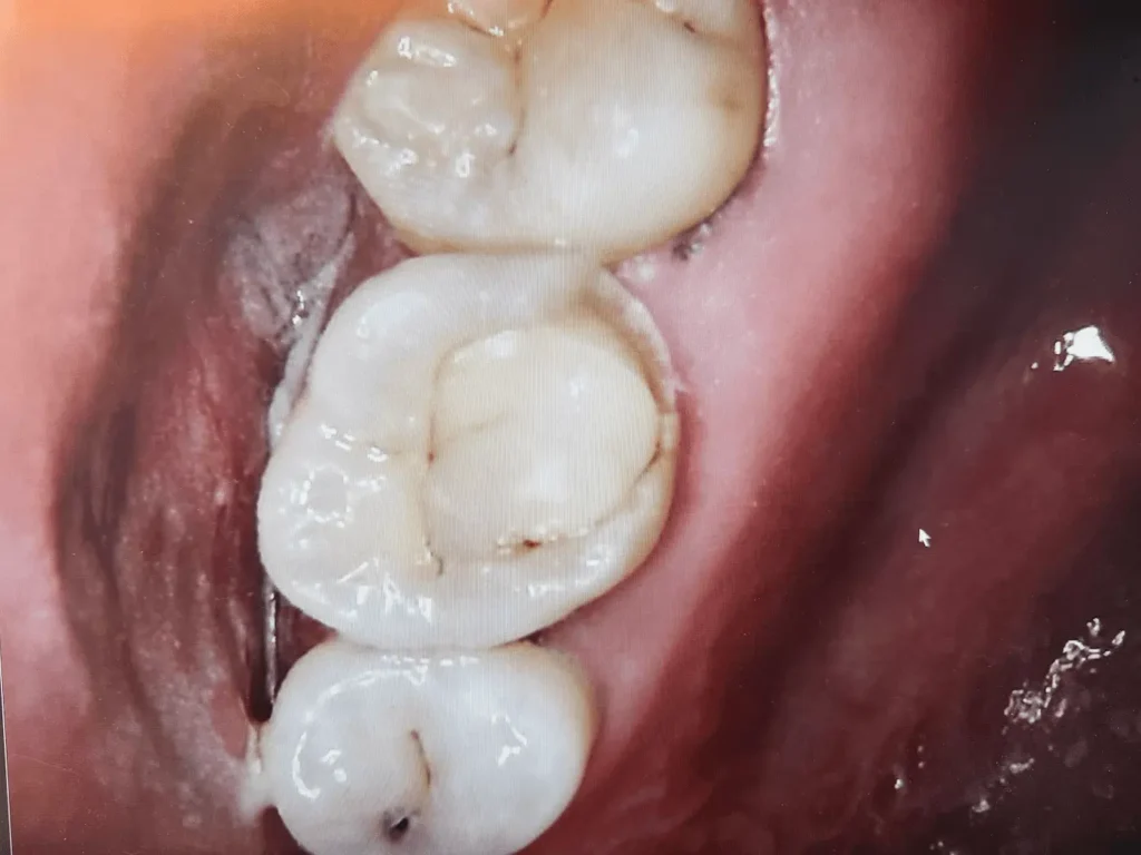
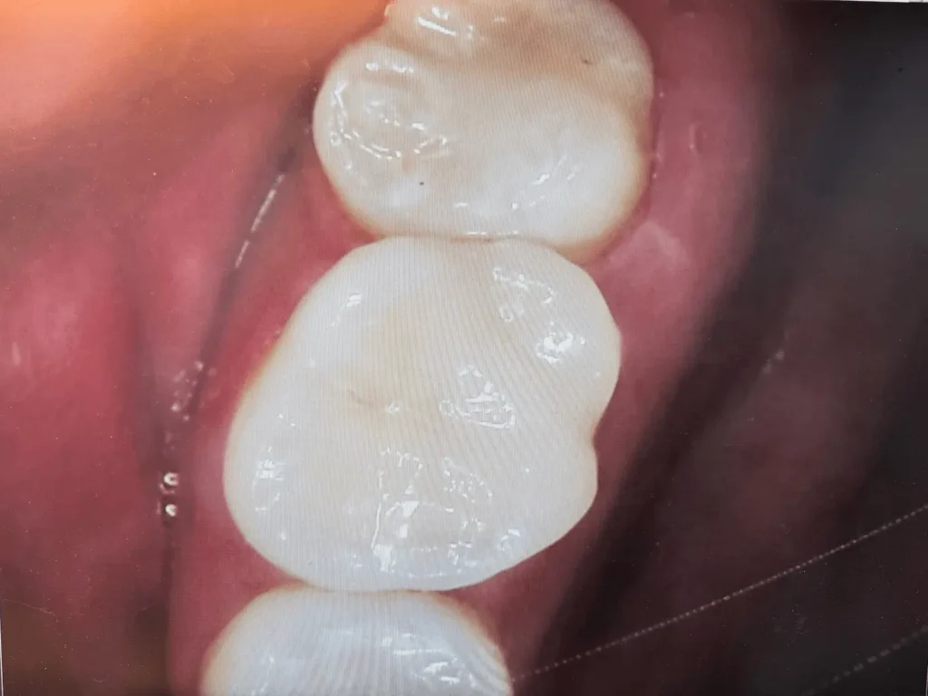
Our goal is to provide restorations that are virtually undetectable. At Huh Dental Wellness, we respect your busy schedule by offering advanced Single-Visit Same Day Crowns Sunnyvale. We replace existing dental crowns and failing fillings with high-quality porcelain that looks, feels, and functions like your natural teeth—all in a single day. Whether your teeth are severely damaged or apparently beyond repair, our cutting-edge technology restores your smile to its original brilliance without the weeks of waiting.
What are the Capabilities of Dental Crowns?
A Reliable Solution for Major Dental Problems
Crown and bridgework is an extremely reliable technique for repairing severe dental problems caused by accidents, disease, or wear and tear. A same-day crown may be the right solution for you if you experience:
Unexplained Pain: Relieving discomfort caused by hairline cracks in the chewing surface of back teeth.
Broken or Weakened Teeth: Offering essential structural support to badly broken teeth or those with large, failing restorations.
Root Canal Protection: Providing a necessary seal for teeth after root canal therapy to prevent future breakage.
Immediate Restoration: Delivering a permanent, high-strength fix in one visit, eliminating the need for fragile temporary crowns.
Our porcelain restorations are designed for long-lasting correction. These treatments typically last for 20 to 30 years, providing a solution that is as close to permanent as dental treatment can get.
The Same Day Crowns Sunnyvale Process
The Same-Day Digital Workflow
: Precision Restoration in a Single Visit
Fitting a dental crown used to take multiple visits, but with our advanced in-house digital technology, we have brought the dental lab directly into our office. We prioritize quality and fit to ensure your crown lasts for decades, eliminating the need for a second appointment weeks later.
No messy impressions, no temporary crowns, and no return visits.
- Digital Scanning: We use precise 3D digital scans, replacing the need for messy, uncomfortable putty impressions.
- In-House Digital Design: Your custom crown is designed digitally by our experts to match your natural tooth structure and bite perfectly.
- Precision Milling & Placement: While you relax in our comfortable office for about an hour, your restoration is precision-milled from a solid block of high-grade, tooth-colored ceramic. Once finished and polished, we bond it permanently to your tooth, allowing you to walk out with a fully restored smile the very same day.


The Benefits of Dental Crowns
1. Ultimate Convenience
Eliminate the need for multiple shots of anesthesia and repeated trips to the office. Our same-day approach fits your busy life, providing a permanent solution in just a few hours.
2. Natural Aesthetics & Confidence
We use high-grade porcelain (or porcelain bonded to gold) that mimics the translucency of natural enamel. Your new crown will look completely natural and seamlessly blend with your smile.
3. Functional Strength & Reliability
By fixing functional chewing problems immediately, we prevent further damage to weakened teeth. Our crowns are designed to withstand daily wear and tear for decades.
Expert Care for
Your Lasting Smile
Expert Care for Your Lasting Smile
Our caring staff is here to help you understand your oral health and provide the gentle, expert care you deserve.