INVISALIGN
Confidence, Uninterrupted
Best Invisalign Dentist in Sunnyvale, CA
Welcome to Huh Dental Wellness, where clinical mastery meets aesthetic art. As a Platinum Invisalign® Provider, Dr. Huh leads the top tier of orthodontic excellence in Sunnyvale, transforming smiles with unmatched precision and care
What is Invisalign®?
Invisalign® is the premier sequence of removable, clear aligners that straighten your teeth. It’s a sophisticated alternative to traditional metal braces for both adults and teens.
Why Invisalign®?
01
Aesthetics
Invisible clear aligners
02
Comfort
No wires, no brackets
03
Convenience
Removable for meals
04
Predictability
View results in advance
Ideal for Any Smile
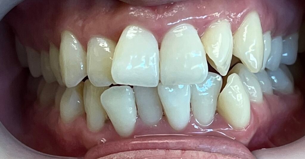
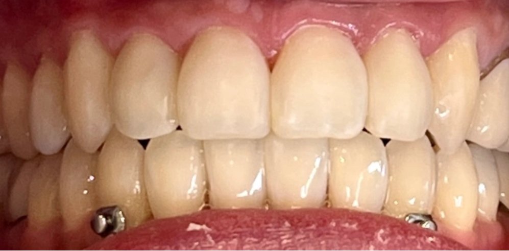
Invisalign® offers a revolutionary, effective solution for both adults and teens who desire a straighter smile without the look and feel of traditional braces. As the most inconspicuous teeth straightening method available, our clear aligners are designed to handle everything from simple adjustments to complex orthodontic cases, including crossbites, crowding, gapped teeth, overbites, and underbites.
At Huh Dental Wellness, we believe your treatment should fit your life, not the other way around. Because the aligners are removable, you can maintain your professional appearance, enjoy your favorite foods without restrictions, and keep up with your oral hygiene with ease. One of the greatest advantages of Invisalign® is its predictability—most people won’t even realize you’re undergoing treatment until they see your stunning final results.
How it Works at Huh Dental Wellness
Invisalign Dentist in Sunnyvale
The Journey to Your New Smile
STEP
1
Comprehensive Data Collection
Your transformation begins with a deep dive. Our expert clinical team collects high-resolution digital scans, clinical photographs, and precision X-rays to create a complete 3D map of your oral health. No messy impressions, just pure digital accuracy.
STEP
2
Precision Artistry & Planning
Using state-of-the-art software, Dr. Huh meticulously designs every tooth movement. Whether your case requires IPR (gentle polishing for space) or Attachments (discreet buttons for precise guidance), every detail is customized. Your custom aligners are then fabricated and shipped directly to our office within 2-3 weeks.
STEP
3
Expertly Guided Evolution
You’ll wear your aligners 24/7—removing them only for cleaning and eating. This consistency makes the process quicker and more efficient. With regular check-ins from our platinum-level experts, we maximize your results while minimizing unnecessary office visits.v
















Beyond the Straight Smile: Lifetime Maintenance
When you reach your goal, we protect your investment. We provide custom-fit Upper and Lower Retainers. These are slightly thicker than aligners, designed to be worn at night to:
Maintain your perfect alignment for life.
Protect your teeth against nighttime grinding and clenching.
Serve as convenient trays for professional whitening.
FAQ for Invisalign
Yes. Invisalign® is the ideal treatment for just about anyone who wants to straighten their teeth or misaligned bite but hopes to avoid traditional medal braces. One of the greatest advantages to Invisalign® is that most people won’t realize you’re undergoing orthodontic treatment.
Since Invisalign® moves your teeth, you may feel a small bit of pressure for the first day or two of wearing a new set. Thankfully, the pain is minimal, and any slight discomfort can be easily managed with over-the-counter medications.
Once your customized aligners are ready, you should wear them 20-22 hours a day, switching to a new set every two weeks. In general, treatment time is 12-18 months, but the specific length depends on your unique goals and how consistently you wear your aligners.
No. It is important to take your aligners out when you eat, drink, brush, and floss. However, the benefit is that you are free to eat whatever you want without any restrictions—just remember to put them back in immediately after to ensure they are worn for the required 20-22 hours a day.
It is important to brush your teeth and your aligners after every meal to prevent staining. Simply clean them with a toothbrush, toothpaste, and lukewarm water. Avoid hot water, as it can potentially warp the plastic.
Today, clear aligners are comparable in cost to traditional braces. We believe financial barriers should never stand in the way of your dream smile. We accept most major insurance plans and offer flexible, interest-free payment plans tailored to your budget. During your consultation, we’ll provide a transparent cost breakdown and help you maximize your benefits.
Q. How can Dr. Huh provide Platinum-level care while costing less?
It is Dr. Huh’s personal mission to make life-changing dentistry accessible. By leveraging her extensive clinical experience and advanced training, she has optimized the Invisalign process to be more efficient. We have intentionally lowered our treatment fees and offer flexible, interest-free payment plans to ensure the smile you deserve fits comfortably within your budget.
Q. Is Invisalign® Right for Me?
Yes. Invisalign® is the ideal treatment for just about anyone who wants to straighten their teeth or misaligned bite but hopes to avoid traditional medal braces. One of the greatest advantages to Invisalign® is that most people won’t realize you’re undergoing orthodontic treatment.
Q. Can Invisalign® fix complex cases like overbites or crowding?
Yes. As a Platinum Provider, Dr. Huh successfully treats everything from simple gaps to complex crossbites and severe crowding. During your consultation, we will show you exactly how Invisalign can address your unique occlusion and functional needs.
Q. Is Invisalign® treatment painful?
Since Invisalign® moves your teeth, you may feel a small bit of pressure for the first day or two of wearing a new set. Thankfully, the pain is minimal, and any slight discomfort can be easily managed with over-the-counter medications.
Q. How long will I need to wear Invisalign?
Once your customized aligners are ready, you should wear them 20-22 hours a day, switching to a new set every two weeks. In general, treatment time is 12-18 months, but the specific length depends on your unique goals and how consistently you wear your aligners.
Q. Can I eat and drink with my aligners in?
No. It is important to take your aligners out when you eat, drink, brush, and floss. However, the benefit is that you are free to eat whatever you want without any restrictions—just remember to put them back in immediately after to ensure they are worn for the required 20-22 hours a day.
Q. How do I clean my aligners?
It is important to brush your teeth and your aligners after every meal to prevent staining. Simply clean them with a toothbrush, toothpaste, and lukewarm water. Avoid hot water, as it can potentially warp the plastic.
Q. How much does Invisalign® cost?
Today, clear aligners are comparable in cost to traditional braces. We believe financial barriers should never stand in the way of your dream smile. We accept most major insurance plans and offer flexible, interest-free payment plans tailored to your budget. During your consultation, we’ll provide a transparent cost breakdown and help you maximize your benefits.
Invisalign is where advanced digital technology meets personalized artistry. We don’t just straighten teeth. We customize a journey that fits your life, hopes, and dreams.
Dr. Inyong Huh, DMD, MAGD | Invisalign® Platinum Provider
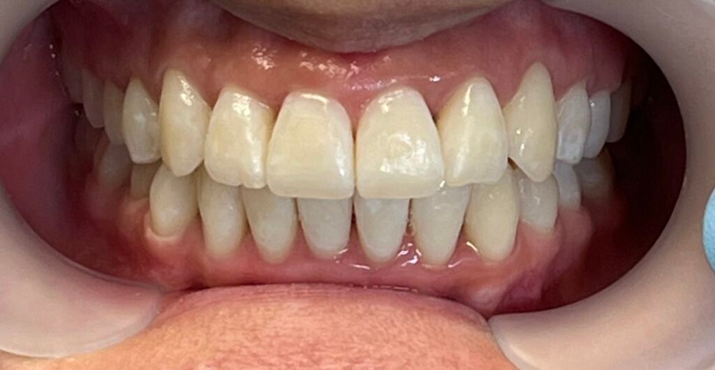
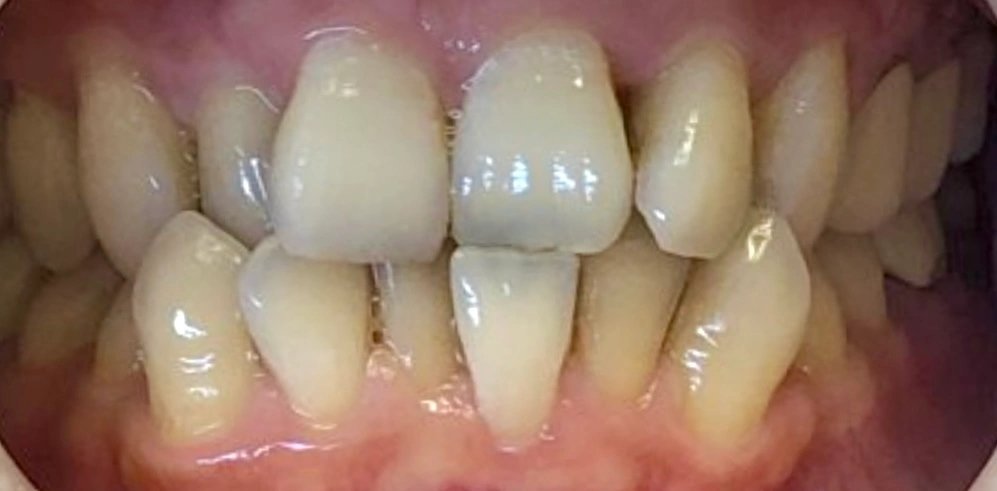
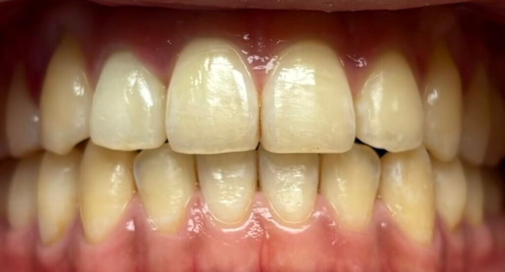
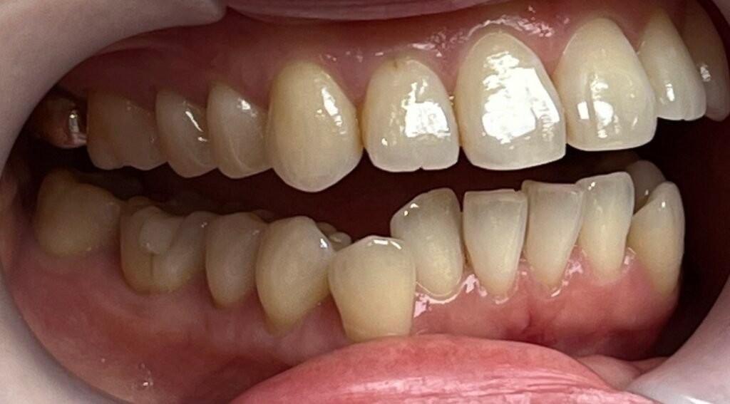
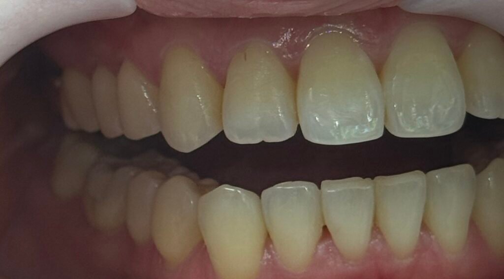
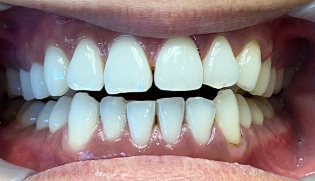
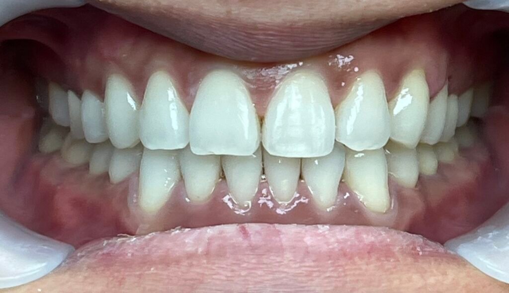
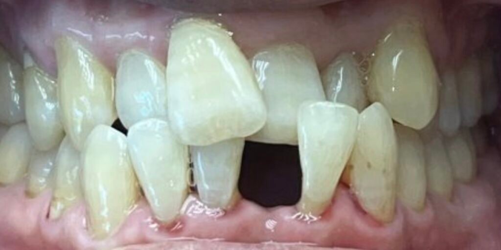
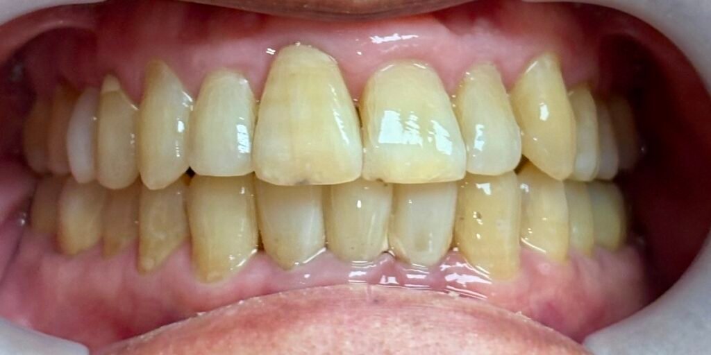
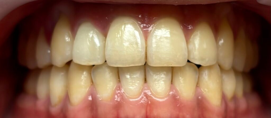
Veneers and Invisalign – Before & After