PERIODONTAL MAINTENANCE
Healthy Gums, Lasting Smiles
Gum Treatment in Sunnyvale, CA
Stop the progression of gum disease and preserve your natural teeth with Gum treatment in Sunnyvale at Huh Dental Wellness
What is Periodontal Disease & Gum Treatment?
The Silent Threat to Your Natural Teeth
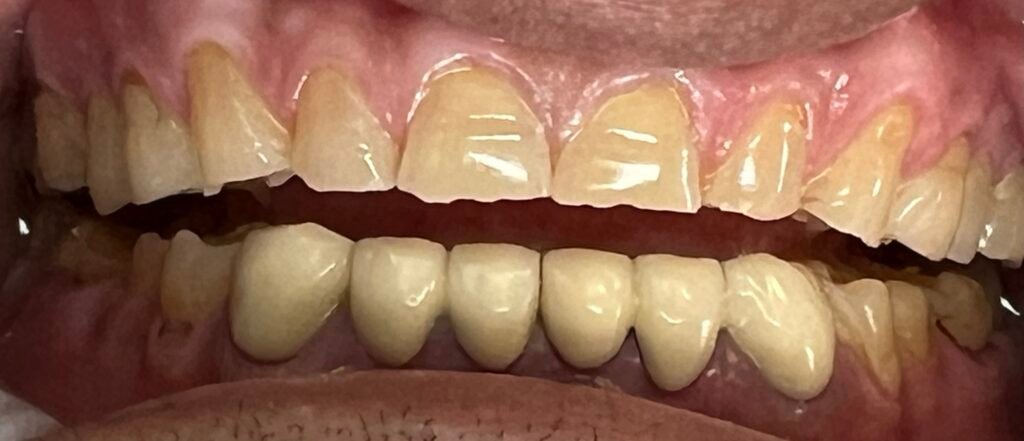
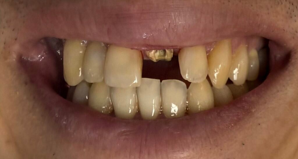
Periodontal diseases are infections of the gums that gradually destroy the support system of your natural teeth. It is a startling fact that adults over 35 lose more teeth to gum disease than to cavities, with three out of four adults affected at some point in their lives. At Huh Dental Wellness in Sunnyvale, we focus on early diagnosis and proactive gum treatment to preserve your smile for a lifetime.
Why Prioritize Periodontal Gum Health?
01
Early Detection
Preventing irreversible bone loss
02
Systemic Health
Linked to heart health and diabetes
03
Expert Hygiene
Professional removal of hidden bacteria
04
Stable Foundation
Securing your natural teeth
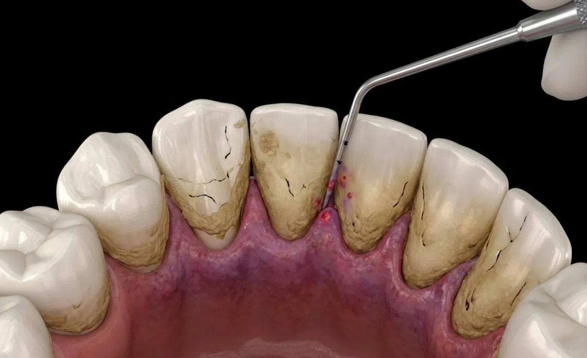
Understanding the Plaque Factor
Gum disease is primarily caused by bacterial plaque—a colorless, sticky film that constantly forms on your teeth. In genetically susceptible individuals, this plaque produces toxins that irritate the gums, causing them to turn red, swell, and bleed easily. If not removed, plaque hardens into calculus (tartar), creating infected pockets that deteriorate the bone holding your teeth in place. While effective daily brushing and flossing are your best defenses, once the disease starts, professional intervention is necessary to prevent its progress. Other accelerating factors include smoking, diabetes, stress, clenching, and poor nutrition.
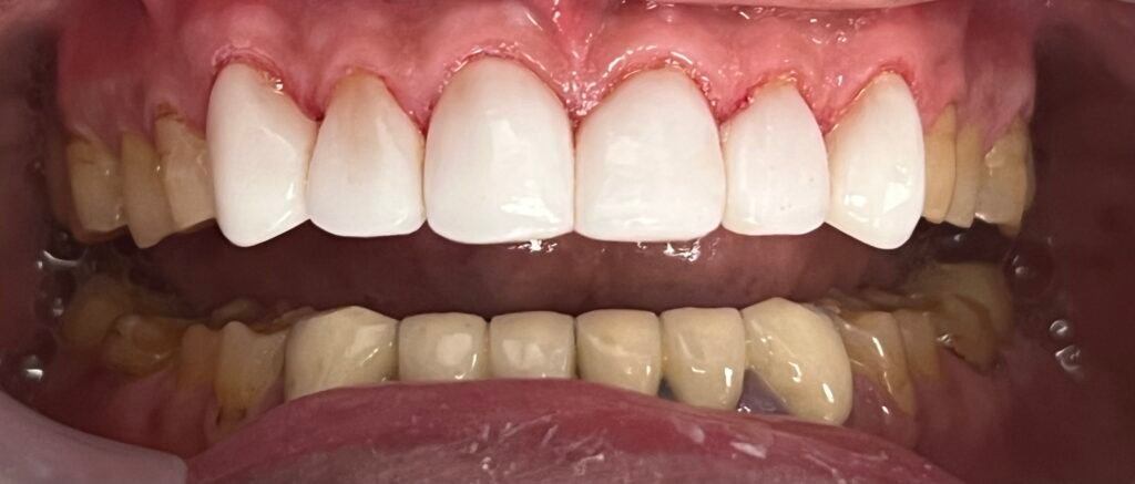
The Science of Gum Recovery: LANAP® Technology
The Future of Gum Healing
At Huh Dental Wellness, for patients with advancing periodontitis, we offer the revolutionary LANAP® protocol using the PerioLase® MVP-7™. This advanced system represents the pinnacle of minimally invasive care:
Precision Targeting: A tiny laser fiber, about the width of three human hairs, is inserted between the gum and tooth.
Preservation: Only infected tissue is removed, leaving healthy gums intact.
Rapid Recovery: Patients enjoy significantly faster healing times and more predictable, long-term results compared to traditional surgery.
The Journey to Your Healthy Gums
1
Comprehensive Evaluation
We perform a detailed exam, measuring gum pockets and using digital X-rays to assess bone density and the extent of the infection.
2
Scaling & Root Planing (Deep Cleaning)
Our specialists remove plaque and calculus from above and below the gum line, smoothing the roots to encourage the gum tissue to reattach to the teeth.
3
Maintenance & Support
Successful treatment requires ongoing care. We provide personalized home care strategies and regular professional cleanings to ensure the infection does not return.






FAQ for Periodontal Health and Gum Treatment in Sunnyvale
Q. What are the warning signs of gum disease?
Red, swollen, or bleeding gums, persistent bad breath, and loose teeth are primary indicators that you need a professional evaluation.
Q. Can I treat gum disease just by brushing at home?
Daily care prevents most conditions, but once plaque hardens into calculus or pockets form, only professional treatment can stop the infection.
Q. Is the LANAP® laser treatment painful?
LANAP® is much more comfortable than traditional gum surgery. Because it targets only bacteria and leaves healthy tissue intact, there is minimal discomfort and faster recovery.
Q. Is gum disease linked to other health issues?
Yes. Research shows that periodontal disease is linked to systemic conditions like heart disease and diabetes, making its treatment vital for your total body wellness.
Q. How can I prevent gum disease?
The best way to prevent gum disease is through effective daily brushing and flossing, combined with regular professional examinations and cleanings. However, even with the most diligent home care, some people can still develop periodontal disease due to genetic or systemic factors. Once the disease starts, professional intervention is necessary to stop its progress and prevent tooth loss.
A beautiful smile is only as strong as the foundation it sits upon. Our periodontal team is dedicated to ensuring that foundation remains healthy, resilient, and life-long.
Dr. Mohamed Othman, DDS | Specialist in Restorative & Implant Dentistry