BIOCLEAR MATRIX
Redefining Aesthetic Excellence
Bioclear in Sunnyvale, CA
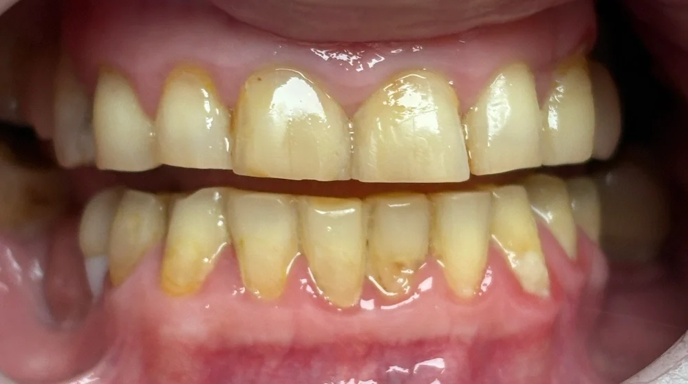
As a certified provider of this advanced treatment, Huh Dental Wellness is excited to offer a cutting-edge solution for a variety of dental concerns, including the effective treatment of black triangles between teeth.
What is BioClear?
BioClear is an innovative method that uses clear forms filled with color-matched composite material to create a seamless bond with your teeth. This technique is minimally invasive and offers a superior alternative to traditional fillings and veneers, particularly in treating black triangles.
Why Choose BioClear?
01
Aesthetic Improvement
Natural, beautiful results
02
Exceptional Durability
Stain and chip resistant
03
Preserves Natural Teeth
Maximum enamel protection
04
Versatile Solutions
Fixes gaps and chips
A Modern Investment in Your Smile’s Future
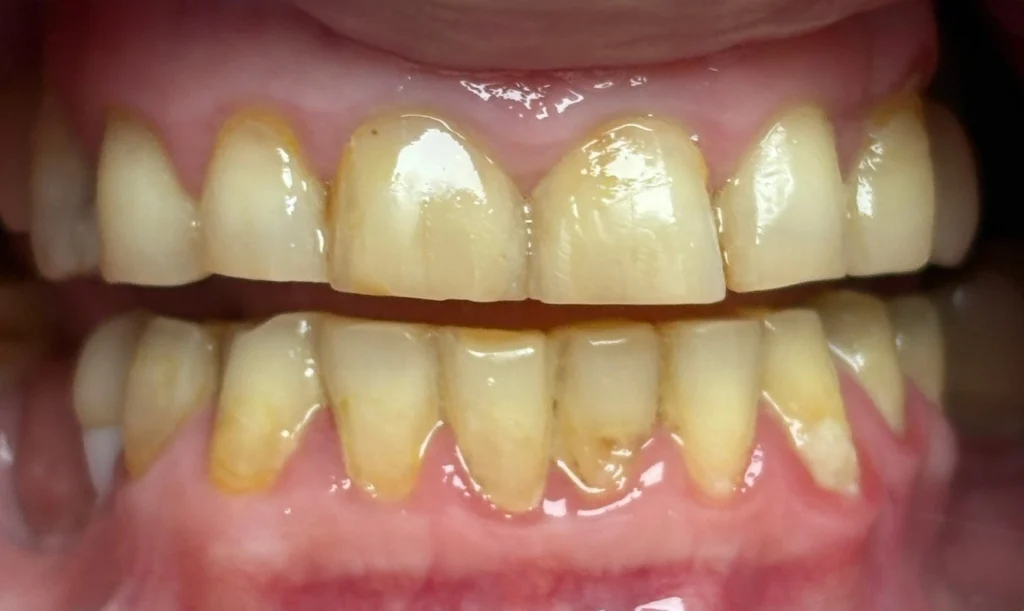
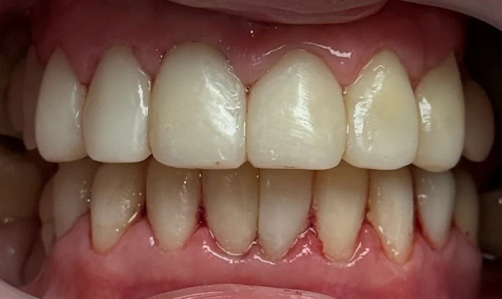
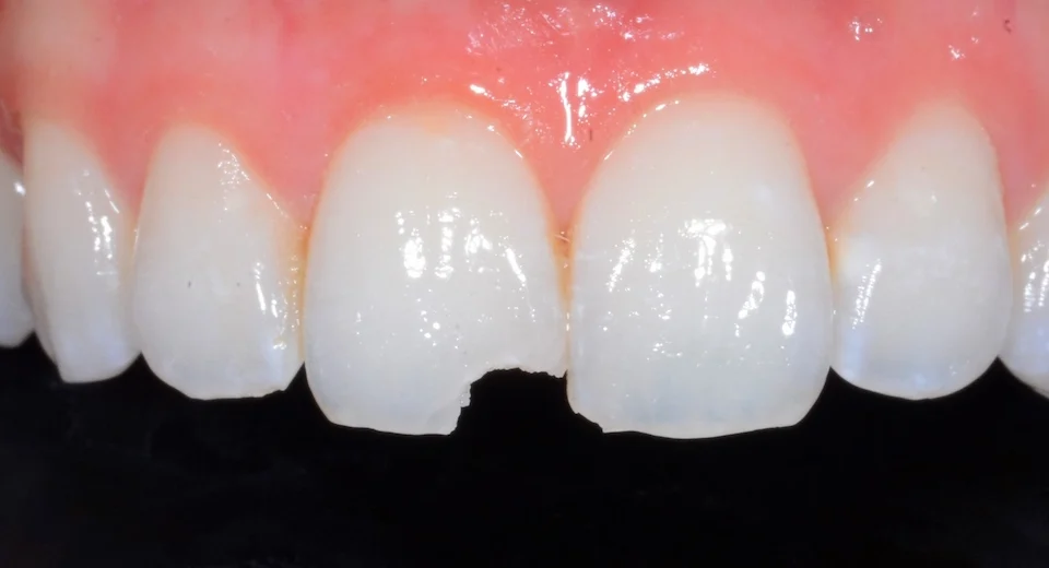
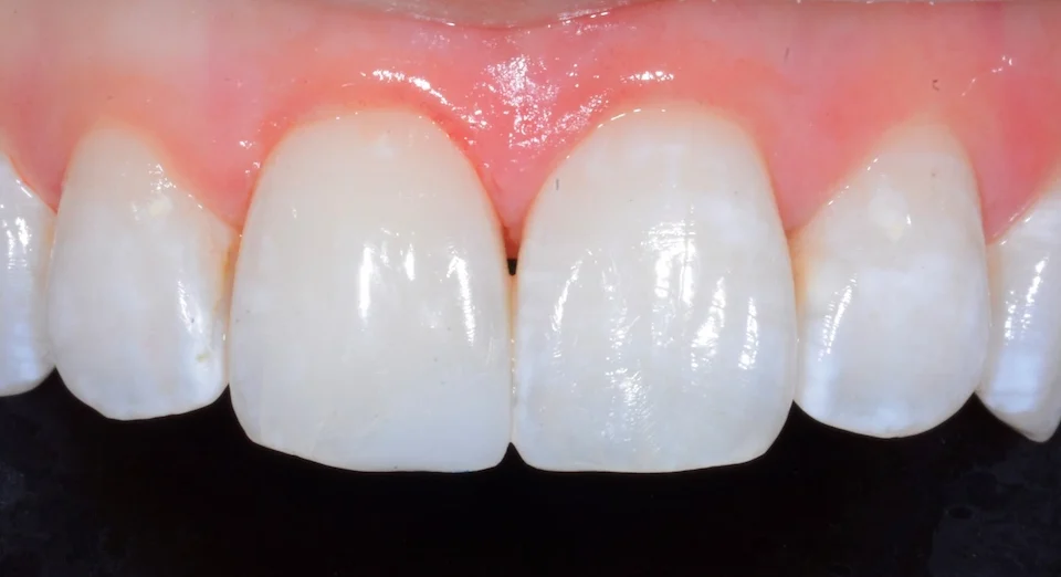
BioClear is more than just a cosmetic fix. It is a conservative and advanced approach to restoring your dental health and confidence. By mimicking the natural contours of your teeth, BioClear eliminates the “black triangles” that often appear due to gum recession or bone loss. Whether you are seeking an alternative to porcelain veneers or looking to repair chipped and worn teeth, our certified team at Huh Dental Wellness ensures your results are as functional as they are beautiful, preserving your natural smile for years to come.
How BioClear Work
The Seamless Matrix System
The BioClear method utilizes anatomical “matrices” (clear forms) that wrap around each tooth. These forms are injected with high-quality composite material, creating a single, solid restoration that is much stronger and smoother than traditional bonding.
Preserving Your Natural Structure
Unlike veneers that often require shaving down healthy enamel, BioClear is additive. We build upon your natural teeth, meaning we keep your original tooth structure intact while achieving a flawless, uniform finish.
The Journey to Your New Smile
1
Cleaning and Preparation
Your journey begins with a thorough cleaning of the tooth surface. Our certified professionals ensure the area is perfectly prepared for the seamless bond.
2
Matrix Placement
Clear forms are carefully placed around the teeth. These specialized matrices allow us to create the perfect shape and contour for your individual smile.
3
Injection and Polishing
The forms are filled with color-matched composite and hardened with a special light. Finally, we polish the restoration to a perfect, high-gloss finish that looks and feels like natural enamel.










FAQ for BioClear
Q. Who can benefit from BioClear?
It is ideal for individuals with black triangles between teeth, patients seeking an alternative to porcelain veneers, or those looking to repair chipped, worn, or gapped teeth.
Q. Is BioClear better than traditional veneers?
For many patients, yes. Because it requires minimal to no tooth removal, it is a more conservative and reversible option that still provides exceptional aesthetic results.
Q. How long does the BioClear treatment take?
Most BioClear procedures can be completed in a single visit, offering immediate results without the need for multiple appointments or temporary crowns.
The best dentistry preserves your natural strength while achieving aesthetic perfection. BioClear transforms your smile without removing healthy tooth structure. It’s my joy to help you regain confidence through this conservative care.
Dr. Inyong Huh, DMD, MAGD | Invisalign® Platinum Provider